Arthrosis of the knee joint (gonarthrosis)a progressive chronic disease of the knee joints, during which the cartilaginous part (the articular surfaces of the femur and tibia) means damage, thinning and damage, as well as damage to the bone under the cartilage.Examinations (arthroscopy and MRI) confirmed that, in addition to damage to the articular cartilage, the meniscus and the articular membrane are also involved in the process.Gonarthrosis is one of the most common orthopedic pathologies.It has synonyms - osteoarthritis (OA), deforming arthrosis.The disease is an important socio-economic problem, as it is widespread and, due to the constant pain, significantly impairs the quality of life of the patients, in addition, it becomes a cause of high disability.

Until the mid-eighties of the last century, there was no uniform definition of the disease.It was not until 1995 that the osteoarthritis committee of the American College of Rheumatology characterized the disease as the result of mechanical and biological factors that lead to an imbalance between the breakdown and synthesis of the extracellular matrix of articular cartilage.As a result, disintegration and degeneration of fibers occurs, cracks, osteosclerosis and compaction of the cortical layer of subchondral bone, osteophytes grow and subchondral cysts are formed.
Why does arthrosis of the knee joint occur?
Risk factors for arthrosis include:
- chronic traumatization (violation of physical activity, excess weight);
- endocrine, inflammatory, metabolic and ischemic diseases;
- the presence of congenital or acquired disorders of the connection, shape or structural structure of the joint ends.
If you experience similar symptoms, contact your doctor.Do not self-medicate - it is dangerous for your health!
Symptoms of arthrosis of the knee joints
Osteoarthritis of the knee joint is characterized by:
- gradual appearance;
- mild joint pain when moving, especially when going up and down stairs;
- "tightness", stiffness and "starting pain", which occurs during the first steps and decreases or disappears when the patient "branches", starts again after significant physical exertion.
- the appearance of the knee remains unchanged.Sometimes there is a slight swelling or accumulation of fluid in the joint.At the same time, the volume of the knee increases, it swells, flattens, movement restrictions and difficulties are felt.
Painful feelings
As the disease progresses, the pain becomes more intense, appearing even with minor exertion and long walks.It is localized along the front-inner surface of the joint.Prolonged rest usually helps the pain go away.
Limited mobility of the knee joint and characteristic cracking
With arthrosis, joint range of motion may be reduced, cracking may occur, and sharp pain may occur when the foot is maximally flexed.
Knee deformity
The configuration of the joint changes as if it were expanding.
Synovitis
Synovitis of the knee joint is inflammation of the mucous membrane of the inner cavity of the joint.The disease manifests itself in swelling of the knee, redness of the skin and limited movement of the joint.With the development of arthrosis, synovitis occurs more often, lasts longer and contains a large amount of fluid.
The last stage of gonarthrosis is characterized by the fact that the pain becomes almost constant and causes anxiety not only while walking, but also at rest, and even at night, when patients have to find a comfortable position to sleep.Movement is more limited: it is difficult to fully bend and straighten the leg.The joint deforms and increases in volume.Valgus (X-shaped) or varus (O-shaped) deformity of the feet is often observed.The gait becomes unstable and ducks.In severe cases, a cane or crutches are needed.

According to the researchers, 76% of elderly people complaining of knee pain had gonarthrosis on X-rays.According to statistics, women are more often affected by the disease, which is associated with hormonal changes after the age of 45.
Pathogenesis of knee joint arthrosis
There are primary and secondary osteoarthritis.
Primary arthrosis of the knee joint
- Articular cartilage is constantly destroyed and renewed;normally these processes are balanced.As we age, cartilage renewal slows down and destruction begins to predominate, which is known as the degradation or degeneration process.The weight of the person plays an important role, since with a weight of 70 kg, we carry 700 kg on both legs in 20 steps (70 kg x 10 steps), and with a weight of 120 kg, we carry 1200 kg.Therefore, weak cartilage wears out much faster;
- remember: the joint receives nutrients and recovers during movement;A sedentary lifestyle reduces metabolic processes, the necessary elements do not reach the cartilage;
- There is conflicting evidence about the role of heredity in the development of the disease.If the parents had arthrosis, then the probability of it increases in children;
- occurs due to autoimmune arthritis.
Secondary arthrosis of the knee joint
- injuries (fractures, meniscus and anterior cruciate ligament tears).Unfortunately, these injuries put excessive stress on the cartilage in all people, regardless of age.The fracture of any part of the bones covered with cartilage is accompanied by the formation of an unevenness - "step".In this area, wear occurs during movement and arthrosis develops;
- rheumatoid arthritis, Koenig's disease (osteochondritis dissecans), consequences of purulent arthritis (gonitis), etc.;
- regional vascular disorders;
- chronic exudative-proliferative and cicatricial adhesive processes in the joint.

During arthrosis (osteoarthrosis), in addition to the progressive destruction of the cartilage, loss of elasticity and shock-absorbing properties, the bones are gradually involved in the process.Under load, sharp edges (exostoses) appear, which are mistakenly considered "salt deposits" - salt deposits do not occur in classic arthrosis.As arthrosis progresses, it continues to "eat away" the cartilage.Then the bone is deformed, cysts are formed, all the structures of the joint are affected, the leg bends.
In addition to the inner or outer part of the knee, arthrosis can also affect the surfaces between the patella and the intercondylar groove of the femur.This option is calledpatellofemoral arthrosis.
This is usually caused by subluxation, fracture or lateralization of the patella.

Classification and developmental stages of arthrosis of the knee joints
Regardless of the cause, gonarthrosis has three stages, i.e deforming arthrosis of the knee joint.
Gonarthrosis, stage I
The first stage of the disease is characterized by primary changes in the hyaline cartilage.Bone structures are not affected.The blood supply of intraosseous vessels and capillaries is interrupted.The surface of the cartilage dries out and loses its smoothness.If the disease is accompanied by constant tense arthritis, a Baker's cyst develops (a hernial protrusion of the joint capsule of the popliteal region).Dull pain occurs after significant stress on the joint.Slight swelling may occur, which will disappear after rest.No deformation.
Gonarthrosis, stage II
In the second stage, the cartilage layer thins sharply and is completely absent in some places.Osteophytes appear along the edges of the joint surfaces.The qualitative and quantitative characteristics of synovial fluid of the joint change - it becomes denser, more viscous, which leads to deterioration of its nutritional and lubricating properties.The pain is more prolonged and intense, and a creaking sound is often heard during movement.There is mild or moderate limitation of movement and mild deformation of the joint.Taking pain relievers will help ease the pain.
Gonarthrosis, III
Porchiány in most affected areas, severe sclerosis (hardening) of the bone, many osteophytes and sharp narrowing or absence of the joint space.The pain is almost constant, and walking is impaired.Mobility is sharply limited and joint deformation is noticeable.NSAIDs, physiotherapy and other usual methods of treating knee arthrosis are ineffective.
Types of gonarthrosis
Depending on the number of affected joints, unilateral and bilateral gonarthrosis are distinguished.
Complications of arthrosis of the knee joints
The II.and III.the most common complication of the stage is tendovaginitis of the thigh adductor muscle group.This manifests itself in pain along the inner surface of the joint, which intensifies with movement.This is due to muscle imbalance and deformation.With a long-term decrease in the range of motion, a contracture develops.In addition, synovitis often occurs.
Consequences of advanced gonarthrosis
Gonarthrosis affects the entire musculoskeletal system, disrupting the biomechanics of the spine and other large joints of the lower limbs.This can lead to herniated discs and arthritis of other joints.The second knee joint is overloaded (if the disease is one-sided), as the patient spares the painful leg and transfers the weight to the other, healthy one.
Diagnosis of arthrosis of the knee joints
Instrumental diagnosis of arthrosis of the knee joint
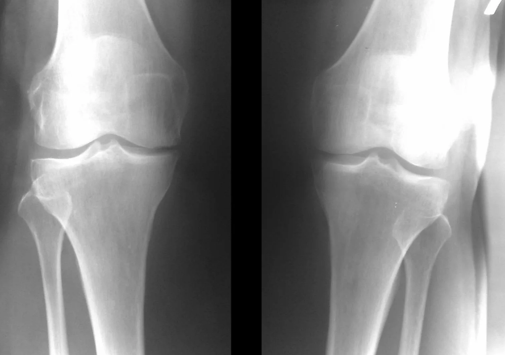
In the vast majority of cases, it is sufficient to examine and x-ray the knee joint in two views (direct and lateral).Clinical data and images help determine the stage of the disease.

In the initial stages of the disease, with minor changes in the bone tissue, the X-ray examination is not so valuable.At this stage, gonarthrosis can be diagnosed by arthroscopy.The accuracy of the method is very high;only its invasive nature and price can stop it.
Ultrasound does not allow clear visualization of changes in articular cartilage and intra-articular structures.With the help of MRI, you can detect changes in the bone, cartilage and soft tissue structures of the joint, as well as in the subchondral bone, with 85% accuracy.Scintigraphy can be used to assess the metabolic activity of periarticular bone tissue.
Laboratory diagnosis of arthrosis of the knee joint
The increased phosphorus and calcium content of dehydrated synovial fluid is evidence of the destruction of articular osteochondral tissue and the accumulation of decay products.Blood is also examined - general analysis and erythrocyte sedimentation rate (ESR);determines the level of fibrinogen, urea and other biochemical parameters of blood and urine.
Is it possible to completely cure deforming arthrosis of the knee joint?
Gonarthrosis can only be completely cured in the earliest stages of the disease.
Which doctor treats deforming arthrosis of the knee joint?
The traumatologist-orthopedic or rheumatologist makes a diagnosis and prescribes treatment.
Treatment of arthrosis of the knee joints
conservative — anti-inflammatory drugs, pain relievers, muscle relaxants, vascular, chondroprotectors, poultices, kinesiotherapy, physical therapy, physical therapy, orthoses.
Minimally invasive- para-articular blockades (Novocaine + medicine relieves pain and inflammation), injection of artificial lubricant into the joint itself, plasma lifting.
Surgical — arthroscopy (a low-traumatic method for the treatment of intra-articular pathologies and removal of damaged structures), endoprosthesis.
Drug treatment (medications for the treatment of arthrosis of the knee joint)
Conservative methods are most effective in the initial stages of the disease.They help reduce pain and temporarily slow down cartilage destruction.The II.stage, more efficient methods are needed.Injection of hyaluronic acid preparations into the joint cavity is used to reduce friction and trauma to the cartilage.There is no clear evidence for cartilage repair, but it is good for lubricating surfaces."PRP therapy" (plasmolifting) is the injection of platelet-rich plasma into the knee joint, obtained by centrifugation from the patient's own blood.It nourishes the cartilage and promotes its restoration, as autoplasmic platelets contain many growth factors and cytokines that promote the regeneration of damaged tissue.
Surgical treatment and endoprosthesis
Endoprosthesis replacement is a widespread and effective surgical method in the treatment of severe gonarthrosis, which enables the preservation of the mobility of the limbs and the subsequent full life.This is a high-tech operation that takes about an hour and a half.In the postoperative period, long-term rehabilitation and development of the joint is necessary.After 25-30 years, when the artificial joint wears out, it must be replaced again.

Physiotherapy and kinesitherapy
Physiotherapy and kinesitherapy methods for treating arthrosis of the knee joint are ineffective.
Diet therapy
Diet is only necessary to maintain a normal body weight;there are no restrictions on the consumption of certain foods in case of gonarthrosis.
Does the blockade help with gonarthrosis?
For arthrosis of the knee joint, a para-articular block is used - the injection of the drug into the soft tissues around the joint.During the procedure, points of inflammation and pain near the joint are determined, the skin is treated with alcohol, and hydrocortisone with anesthetic is injected into this area.
Therapeutic exercises for arthrosis
Therapeutic exercises are useful both for patients with gonarthrosis and for the prevention of the disease.Effective exercises:
- full flexion and extension of the leg, lying on the back;
- Straight leg raise lying on back.
Forecast.Prevention
You need to understand that if arthrosis begins to develop, it must be treated immediately.If you are at risk of this disease, you can delay the development of the disease, for this it is recommended:
- reduces stress on the knee joint;
- swim - water relieves stress;
- you massage the muscles of the lower leg and thigh;
- avoid hypothermia and overexertion;
- maintain a normal weight;
- stop smoking and alcohol;
- women wear comfortable low-heeled shoes;
- do physical therapy
Be sure to consult your doctor before starting therapeutic exercises.The exercises are performed at a slow pace.If pain or discomfort occurs during the exercise, the exercises should be stopped.
Only effective drugs should be used.Rubbing, compression and other folk methods are ineffective;they do not affect the cause of the disease, but only help to divert attention from the pain.Avoid injury and overload - jumping, carrying heavy objects, standing for long periods or sitting in an uncomfortable position.This accelerates the progression of the disease.
It is also necessary to promptly diagnose and treat rheumatoid arthritis, gout and systemic diseases.
What factors influence the long-term prognosis of knee arthrosis?
The prognosis depends on the stage at which the patient consulted a doctor and on the correct therapy.The sooner you start proper treatment, the greater the chance of avoiding surgery.






















